[Dantri.com.vn]Trong điều kiện thời tiết nắng nóng như hiện nay, nhu cầu sử dụng điều hòa tăng, ăn uống thực phẩm kém vệ sinh hay nước uống lạnh, rượu bia thường xuyên khiến các bệnh về Tai – Mũi – Họng dễ dàng phát triển. Dưới đây, bác sĩ chuyên khoa sẽ giúp chỉ ra những biểu hiện thường gặp nhất ở các bệnh Tai – Mũi – Họng để tránh nhầm lẫn, điều trị bệnh hiệu quả nhất.
Dấu hiệu bệnh lý thường gặp về Tai
-
Đau tai
Đây là triệu chứng thường gặp nhất cho tất cả các bệnh về tai.Trong viêm tai giữa cấp giai đoạn xung huyết hay ứ mủ sẽ khiến tình trạng đau tăng lên mỗi ngày. Đau theo nhịp đập của mạch, lan ra sau tai, vùng thái dương rồi lan xuống hàm khiến người bệnh không ngủ được.
-
Chảy mủ tai
Thường gặp nhất là ở trường hợp viêm tai giữa mạn tính hoặc viêm tai giữa cấp tính giai đoạn vỡ mủ. Mủ tai có thể đặc sánh hoặc loãng, có màu vàng hoặc xám đôi khi lẫn máu. Lúc này, cần nhanh chóng đến gặp bác sĩ chuyên khoa để được thăm khám và điều trị kịp thời.

-
Ù tai
Có rất nhiều nguyên nhân dẫn đến gây ra ù tai như bệnh lý tai ngoài: quá nhiều ráy tai, viêm ống tai ngoài, nhọt trong tai, dị vật; các bệnh lý tai giữa như: viêm tai giữa cấp và mạn tính, viêm tắc vòi nhĩ, hoặc do bệnh lý của màng nhĩ như xơ hóa màng nhĩ. Ù tai làm giảm khả năng tập trung, gây ảnh hưởng lớn đến sinh hoạt, học tập và năng suất lao động hàng ngày của người bệnh.
Dấu hiệu bệnh lý thường gặp về mũi xoang
-
Ngạt tắc mũi
Các nguyên nhân thường gặp ở trẻ là do viêm V.A, viêm mũi xoang, dị vật trong mũi,… Ở người lớn hay gặp trong viêm xoang, polyp mũi, vẹo vách ngăn, do các khối u mũi xoang và vòm họng,…
-
Chảy mũi
Khi bị bệnh lý mũi xoang có thể có chảy nước mũi trong (do viêm mũi cấp, viêm mũi xoang dị ứng, do cảm cúm thông thường), mũi nhầy mủ (do viêm xoang cấp, mạn tính) hoặc chảy máu mũi (thường gặp do khối u vùng mũi xoang và chấn thương mũi – xoang – hàm).

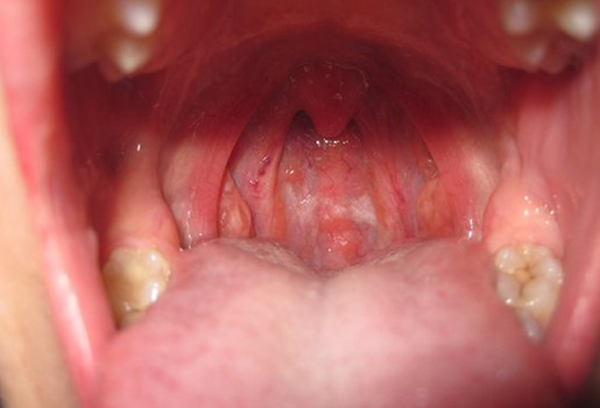
Dấu hiệu bệnh lý thường gặp về họng – thanh quản
-
Đau rát họng
Tình trạng đau rát họng, sưng đau màn hầu, lưỡi gà xảy ra khi họng bị nhiễm khuẩn, thường gặp ở những bệnh nhân mắc bệnh viêm họng và viêm amidan, áp xe thành sau họng hoặc dị vật họng.
-
Nuốt vướng
Nuốt vướng là dấu hiệu của nhiều bệnh lý nguy hiểm về họng – thanh quản như: viêm họng – thanh quản, viêm amidan đặc biệt nguy hiểm hơn cả là ung thư vòm họng, ung thư thanh quản,…

-
Ngứa họng
Ngứa họng thường gặp ở những người bị viêm họng mạn tính hoặc viêm mũi – họng dị ứng, chế độ ăn uống, bụi bẩn gây kích ứng niêm mạch họng dẫn đến sự ngứa ngáy khó chịu. Người bệnh thường phải ho hay khạc thường xuyên để làm giảm cơn ngứa họng.
Lưu ý trong chăm sóc và phòng tránh bệnh Tai – Mũi – Họng
Bác sĩ Lê Thị Hiền Hà – phụ trách chuyên khoa Tai – Mũi – Họng tại Bệnh Viện Đông Đô cho biết, để phòng tránh bệnh lý Tai – Mũi – Họng cần chú ý những yếu tố sau:

– Hạn chế đồ ăn lạnh, chua cay để bảo vệ vùng họng.
– Không ở trong môi trường điều hòa có nhiệt độ quá chênh lệch với môi trường bên ngoài.
– Súc họng, rửa mũi bằng nước muối sinh lý để vùng mũi họng được khử trùng, làm sạch, thông thoáng mỗi ngày.
– Hạn chế tiếp xúc hoặc cần thiết phải tiếp xúc với môi trường khói bụi, hóa chất cần phải đeo khẩu trang để bảo vệ vùng mũi họng.
– Chú ý ăn uống đầy đủ dinh dưỡng, đặc biệt là bổ sung các vitamin để tăng sức đề kháng cho cơ thể.
Khi có những triệu chứng về bệnh Tai – Mũi – Họng cần đến gặp bác sĩ để được khám, tư vấn và điều trị bệnh hiệu quả. Tránh để bệnh kéo dài không chỉ ảnh hưởng đến sức khỏe, học tập mà còn gây trở ngại cho việc điều trị về sau thậm chí có những bệnh gây mạn tính nặng nề cần phải can thiệp phẫu thuật.
http://dantri.com.vn/tu-van/bac-si-chuyen-khoa-chi-cach-phan-biet-dau-hieu-benh-tai-mui-hong-20180704162335499.htm







